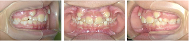
症例1年齢/22歳女性
期間/2年11ヶ月
主訴/八重歯、かみ合わせを治してほしい
診断/骨格性Ⅰ級叢生
装置/セラミックブラケット
抜歯部位/上下顎両側第一小臼歯
治療費/106万円
副作用とリスク/矯正力がかかることによる歯の痛みや違和感、矯正装置の刺激による口内炎が生じることがあります。歯根吸収や歯肉退縮、ブラックトライアングル、口腔内の清掃不良による歯肉炎・歯周病、むし歯が生じる可能性がありました。
※こちらは治療例です。治療結果には個人差があります。

治療前

治療中

治療後

治療前&治療後
症例2年齢/25歳女性
期間/2年5ヶ月
主訴/前歯がガタガタで口元が出ているのが気になる
診断/骨格性Ⅱ級叢生
装置/カスタムメイド型舌側矯正装置
抜歯部位/上下顎両側第二小臼歯
治療費/148万円
副作用とリスク/矯正力がかかることによる歯の痛みや違和感、矯正装置の刺激による口内炎が生じることがあります。歯根吸収や歯肉退縮、ブラックトライアングル、口腔内の清掃不良による歯肉炎・歯周病、むし歯が生じる可能性がありました。
※こちらは治療例です。治療結果には個人差があります。

治療前

治療中

治療後

治療前と治療後

治療前と治療後
症例3年齢/23歳女性
期間/2年5か月
主訴/八重歯が写真を撮る時気になる
診断/骨格性Ⅰ級叢生
装置/カスタムメイド型舌側矯正装置
抜歯部位/非抜歯
治療費/148万円
副作用とリスク/矯正力がかかることによる歯の痛みや違和感、矯正装置の刺激による口内炎が生じることがあります。ブラックトライアングルや口腔内の清掃不良による歯肉炎・歯周病、むし歯が生じる可能性がありました。
※こちらは治療例です。治療結果には個人差があります。

治療前

治療中

治療後

治療前と治療後

治療前と治療後
症例4年齢/17歳男性
期間/1年11か月
主訴/歯ならびがでこぼこで虫歯になりやすいのが気になる
診断/骨格性Ⅱ級叢生
装置/セルフライゲーションセラミックブラケット
抜歯部位/上顎両側第一小臼歯、下顎右側第一小臼歯・左側第二小臼歯、上顎正中過剰埋伏歯
治療費/100万円
副作用とリスク/矯正力がかかることによる歯の痛みや違和感、矯正装置の刺激による口内炎が生じることがあります。歯根吸収や歯肉退縮、ブラックトライアングル、口腔内の清掃不良による歯肉炎・歯周病、むし歯が生じる可能性がありました。
※こちらは治療例です。治療結果には個人差があります。

治療前

治療中

治療後

治療前と治療後

治療前と治療後
症例5年齢/8歳女子
期間/1年6か月
主訴/歯ならびがデコボコ、前歯が出ているのが気になる
診断/骨格性Ⅰ級叢生
装置/歯列矯正用咬合誘導装置(T4K)
治療費/42万円
備考/第Ⅰ期治療後、永久歯交換と成長の観察中
副作用とリスク/矯正力がかかることによる歯の痛みや違和感、矯正装置の刺激による口内炎が生じることがあります。口腔内の清掃不良による歯肉炎が生じる可能性がありました。
※こちらは治療例です。治療結果には個人差があります。

治療前

治療中

治療後

治療前と治療後

治療前と治療後
症例6年齢/10歳男子
期間/1年
主訴/全体的に歯並びが気になる
診断/骨格性Ⅱ級叢生
装置/歯列矯正用咬合誘導装置(K-1)
治療費/37万円
備考/第Ⅰ期治療
副作用とリスク/矯正力がかかることによる歯の痛みや違和感、矯正装置の刺激による口内炎が生じることがあります。口腔内の清掃不良による歯肉炎・歯周病、むし歯が生じる可能性がありました。
※こちらは治療例です。治療結果には個人差があります。

治療前

治療後

治療前と治療後
症例7年齢/7歳女子
期間/4か月
主訴/前歯がねじれて生えてきた
診断/骨格性Ⅰ級叢生
装置/メタルブラケット(2×4)
治療費/43万円
備考/第Ⅰ期治療(部分矯正)
副作用とリスク/矯正力がかかることによる歯の痛みや違和感、矯正装置の刺激による口内炎が生じることがあります。口腔内の清掃不良による歯肉炎、むし歯が生じる可能性がありました。
※こちらは治療例です。治療結果には個人差があります。

治療前

治療中

治療後

治療前と治療後
症例8年齢/7歳男子
期間/5か月
主訴/2番目の歯が内側から生えてきた
診断/骨格性Ⅰ級叢生
装置/リンガルアーチ
治療費/43万円
備考/第Ⅰ期治療
副作用とリスク/矯正力がかかることによる歯の痛みや違和感、矯正装置の刺激による口内炎が生じることがあります。口腔内の清掃不良による歯肉炎、むし歯が生じる可能性がありました。
※こちらは治療例です。治療結果には個人差があります。

治療前

治療中

治療前と治療後

治療前と治療後
症例9年齢/9歳男子
期間/2年3か月(ブラケット装着は10か月)
主訴/全体的に歯並びが気になる
診断/骨格性Ⅱ級叢生
装置/ヘッドギア、メタルブラケット
治療費/41万円
備考/第Ⅰ期治療
副作用とリスク/矯正力がかかることによる歯の痛みや違和感、矯正装置の刺激による口内炎が生じることがあります。口腔内の清掃不良による歯肉炎・歯周病、むし歯が生じる可能性がありました。
※こちらは治療例です。治療結果には個人差があります。

治療前

治療中

治療後

治療前と治療後
症例10年齢/7歳男子
期間/5か月
主訴/前歯が変なところから生えてきた
診断/骨格性Ⅰ級叢生
装置/メタルブラケット(2×4)
治療費/43万円
備考/第Ⅰ期治療(部分矯正)
副作用とリスク/矯正力がかかることによる歯の痛みや違和感、矯正装置の刺激による口内炎が生じることがあります。口腔内の清掃不良による歯肉炎、むし歯が生じる可能性がありました。
※こちらは治療例です。治療結果には個人差があります。

治療前

治療中

治療後

治療前と治療後

治療前と治療後
症例11年齢/10歳女子
期間/10か月
主訴/全体的に歯並びが悪いので良くしたい
診断/骨格性Ⅰ級叢生
装置/リンガルアーチ
治療費/46万円
備考/下顎右側第1小臼歯萌出余地不足 第Ⅰ期治療後、永久歯交換と成長の観察
副作用とリスク/矯正力がかかることによる歯の痛みや違和感、矯正装置の刺激による口内炎が生じることがあります。口腔内の清掃不良による歯肉炎、むし歯が生じる可能性がありました。
※こちらは治療例です。治療結果には個人差があります。

治療前

治療中

治療後

治療前と治療後

治療前と治療後
症例12年齢/18歳女性
期間/1年11か月
主訴/前歯がガタガタしてる
診断/骨格性Ⅰ級叢生
装置/セラミックブラケット
抜歯部位/上顎両側第一小臼歯
治療費/100万円
副作用とリスク/矯正力がかかることによる歯の痛みや違和感、矯正装置の刺激による口内炎が生じることがあります。歯根吸収や歯肉退縮、ブラックトライアングル、口腔内の清掃不良による歯肉炎・歯周病、むし歯が生じる可能性がありました。
※こちらは治療例です。治療結果には個人差があります。

治療前

治療中

治療後

治療前と治療後

治療前と治療後
症例13年齢/25歳女性
期間/2年8か月
主訴/上下の前歯のデコボコ、虫歯になりやすいのが気になる
診断/骨格性Ⅱ級叢生
装置/メタルブラケット
抜歯部位/上顎両側第一小臼歯
治療費/93万円
副作用とリスク/矯正力がかかることによる歯の痛みや違和感、矯正装置の刺激による口内炎が生じることがあります。歯根吸収や歯肉退縮、ブラックトライアングル、口腔内の清掃不良による歯肉炎・歯周病、むし歯が生じる可能性がありました。
※こちらは治療例です。治療結果には個人差があります。

治療前

治療中

治療後

治療前と治療後

治療前と治療後
症例14年齢/24歳女性
期間/2年3か月
主訴/歯磨きがしにくく、歯周病が心配なので歯並びを治したい
診断/骨格性Ⅱ級叢生
装置/カスタムメイド型舌側矯正装置
抜歯部位/上顎両側第一小臼歯、下顎両側第二小臼歯
治療費/145万円
備考/治療途中に結婚式の予定あり
副作用とリスク/矯正力がかかることによる歯の痛みや違和感、矯正装置の刺激による口内炎が生じることがあります。歯根吸収や歯肉退縮、ブラックトライアングル、口腔内の清掃不良による歯肉炎・歯周病、むし歯が生じる可能性がありました。
※こちらは治療例です。治療結果には個人差があります。

治療前

治療中

治療後

治療前と治療後

治療前と治療後
症例15年齢/11歳男子
期間/1年
主訴/歯が曲がっている・変なところから歯が生えてきたのを治してほしい
診断/骨格性Ⅰ級叢生
装置/メタルブラケット
治療費/46万円
備考/第Ⅰ期治療(上顎のみ部分矯正)
副作用とリスク/矯正力がかかることによる歯の痛みや違和感、矯正装置の刺激による口内炎が生じることがあります。口腔内の清掃不良による歯肉炎、むし歯が生じる可能性がありました。
※こちらは治療例です。治療結果には個人差があります。

治療前

治療中

治療後

治療前と治療後
症例16年齢/26歳男性
期間/2年7ヶ月
主訴/歯が1本内側に入っている歯並びを治してほしい
診断/骨格性Ⅰ級叢生
装置/セルフライゲーションセラミックブラケット
抜歯部位/上顎両側第一小臼歯、下顎両側第二小臼歯
治療費/103万円
副作用とリスク/矯正力がかかることによる歯の痛みや違和感、矯正装置の刺激による口内炎が生じることがあります。歯根吸収や歯肉退縮、ブラックトライアングル、口腔内の清掃不良による歯肉炎・歯周病、むし歯が生じる可能性がありました。
※こちらは治療例です。治療結果には個人差があります。

治療前

治療中

治療後

治療前と治療後
症例17年齢/23歳男性
期間/1年6ヶ月
主訴/八重歯が気になる
診断/骨格性Ⅱ級叢生
装置/セラミックブラケット
抜歯部位/上顎両側第一小臼歯
治療費/100万円
副作用とリスク/矯正力がかかることによる歯の痛みや違和感、矯正装置の刺激による口内炎が生じることがあります。歯根吸収や歯肉退縮、ブラックトライアングル、口腔内の清掃不良による歯肉炎・歯周病、むし歯が生じる可能性がありました。
※こちらは治療例です。治療結果には個人差があります。

治療前

治療中

治療後

治療前と治療後
症例18年齢/22歳男性
期間/1年7か月
主訴/犬歯が変なとこから生えているのを治してほしい
診断/骨格性Ⅰ級叢生
装置/セラミックブラケット
抜歯部位/上顎右側乳犬歯
治療費/100万円
副作用とリスク/矯正力がかかることによる歯の痛みや違和感、矯正装置の刺激による口内炎が生じることがあります。歯根吸収や歯肉退縮、ブラックトライアングル、口腔内の清掃不良による歯肉炎・歯周病、むし歯が生じる可能性がありました。
※こちらは治療例です。治療結果には個人差があります。

治療前

治療中

治療後

治療前と治療後
症例19年齢/13歳男性
期間/2年11か月
主訴/前歯のデコボコ、かみ合わせが気になる
診断/骨格性Ⅰ級叢生
装置/メタルブラケット
抜歯部位/上下顎両側第一小臼歯
治療費/96万円
備考/保定終了後は治療終了後5年経過写真
副作用とリスク/矯正力がかかることによる歯の痛みや違和感、矯正装置の刺激による口内炎が生じることがあります。歯根吸収や歯肉退縮、ブラックトライアングル、口腔内の清掃不良による歯肉炎・歯周病、むし歯が生じる可能性がありました。
※こちらは治療例です。治療結果には個人差があります。

治療前

治療後

保定終了後

治療前と治療後

治療前と治療後
症例20年齢/22歳女性
期間/3年2か月
主訴/歯ならびがガタガタなのと口が閉じにくいのが気になる
診断/骨格性Ⅰ級叢生
装置/プラスチックブラケット
抜歯部位/上下顎両側第一小臼歯
治療費/107万円
備考/保定終了後は治療終了後5年経過写真
副作用とリスク/矯正力がかかることによる歯の痛みや違和感、矯正装置の刺激による口内炎が生じることがあります。歯根吸収や歯肉退縮、ブラックトライアングル、口腔内の清掃不良による歯肉炎・歯周病、むし歯が生じる可能性がありました。
※こちらは治療例です。治療結果には個人差があります。

治療前

治療後

保定終了後

治療前と治療後

治療前と治療後
症例21年齢/25歳女性
期間/1年
主訴/1年後に結婚式を控えている
診断/骨格性Ⅰ級叢生
装置/セラミックブラケット
抜歯部位/上顎左側第一小臼歯
治療費/95万円
備考/上顎右側側切歯先天欠損・上顎右側乳犬歯
副作用とリスク/矯正力がかかることによる歯の痛みや違和感、矯正装置の刺激による口内炎が生じることがあります。歯根吸収や歯肉退縮、ブラックトライアングル、口腔内の清掃不良による歯肉炎・歯周病、むし歯が生じる可能性がありました。
※こちらは治療例です。治療結果には個人差があります。

治療前

治療中

治療後

治療前と治療後