症例1年齢/25歳女性
期間/3年1か月
主訴/出っ歯を治してほしい
診断/骨格性Ⅱ級上下顎前突
装置/カスタムメイド型舌側矯正装置
抜歯部位/上下顎両側第一小臼歯、上顎両側第三大臼歯、下顎左側第三大臼歯
治療費/151万円
副作用とリスク/ 矯正力がかかることによる歯の痛みや違和感、矯正装置の刺激による口内炎が生じることがあります。歯根吸収や歯肉退縮、ブラックトライアングル、口腔内の清掃不良による歯肉炎・歯周病、むし歯が生じる可能性がありました。
※こちらは治療例です。治療結果には個人差があります。

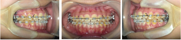
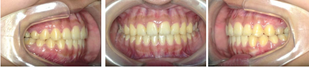
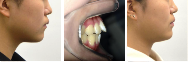
治療前

治療中

治療後

治療前と治療後
症例2年齢/22歳女性
期間/2年4か月
主訴/口元が出ているのを治してほしい
診断/骨格性Ⅱ級上下顎前突
装置/カスタムメイド型舌側矯正装置
抜歯部位/上下顎両側第一小臼歯、上下顎両側第三大臼歯
治療費/145万円
副作用とリスク/ 矯正力がかかることによる歯の痛みや違和感、矯正装置の刺激による口内炎が生じることがあります。歯根吸収や歯肉退縮、ブラックトライアングル、口腔内の清掃不良による歯肉炎・歯周病、むし歯が生じる可能性がありました。
※こちらは治療例です。治療結果には個人差があります。

治療前

治療中

治療後

治療前と治療後
症例3年齢/21歳女性
期間/2年6か月
主訴/前歯のデコボコと出てるのが、笑った時に気になる
診断/骨格性Ⅱ級上下顎前突
装置/セラミックブラケット
抜歯部位/上下顎両側第一小臼歯、上顎右側第三大臼歯、下顎左側第二大臼歯
治療費/103万円
副作用とリスク/矯正力がかかることによる歯の痛みや違和感、矯正装置の刺激による口内炎が生じることがあります。歯根吸収や歯肉退縮、ブラックトライアングル、口腔内の清掃不良による歯肉炎・歯周病、むし歯が生じる可能性がありました。
※こちらは治療例です。治療結果には個人差があります。

治療前

治療中

治療後

治療前と治療後

治療前と治療後
症例4年齢/18歳女性
期間/2年
主訴/上の前歯が出っ歯なのを治したい
診断/骨格性Ⅲ級上顎前突
装置/セラミックブラケット
抜歯部位/非抜歯
治療費/100万円
副作用とリスク/矯正力がかかることによる歯の痛みや違和感、矯正装置の刺激による口内炎が生じることがあります。歯根吸収や歯肉退縮、ブラックトライアングル、口腔内の清掃不良による歯肉炎・歯周病、むし歯が生じる可能性がありました。
※こちらは治療例です。治療結果には個人差があります。

治療前

治療中

治療後

治療前と治療後

治療前と治療後
症例5年齢/15歳女性
期間/2年11か月
主訴/前歯のねじれている歯並びが気になる
診断/骨格性Ⅱ級上下顎前突
装置/メタルブラケット
抜歯部位/上下顎両側第一小臼歯
治療費/106万円
備考/ヘッドギア併用
副作用とリスク/ 矯正力がかかることによる歯の痛みや違和感、矯正装置の刺激による口内炎が生じることがあります。歯根吸収や歯肉退縮、ブラックトライアングル、口腔内の清掃不良による歯肉炎・歯周病、むし歯が生じる可能性がありました。
※こちらは治療例です。治療結果には個人差があります。

治療前

治療中

治療後

治療前と治療後

治療前と治療後
症例6年齢/25歳女性
期間/2年6か月
主訴/前歯がデコボコ、口が閉じないのが気になる
診断/骨格性Ⅱ級上下顎前突
装置/セラミックブラケット
備考/上下顎両側第一小臼歯
治療費/103万円
副作用とリスク/ 矯正力がかかることによる歯の痛みや違和感、矯正装置の刺激による口内炎が生じることがあります。歯根吸収や歯肉退縮、ブラックトライアングル、口腔内の清掃不良による歯肉炎・歯周病、むし歯が生じる可能性がありました。
※こちらは治療例です。治療結果には個人差があります。

治療前

治療中

治療後

治療前と治療後
症例7年齢/27歳女性
期間/2年3か月
主訴/下の前歯の歯並びを結婚式までに治したい
診断/骨格性Ⅰ級上下顎前突
装置/セラミックブラケット
抜歯部位/上下顎両側第一小臼歯
治療費/101万円
備考/8か月後の結婚式当日はホワイトワイヤーにて対応
副作用とリスク/ 矯正力がかかることによる歯の痛みや違和感、矯正装置の刺激による口内炎が生じることがあります。歯根吸収や歯肉退縮、ブラックトライアングル、口腔内の清掃不良による歯肉炎・歯周病、むし歯が生じる可能性がありました。
※こちらは治療例です。治療結果には個人差があります。

治療前

治療中

治療後

治療前と治療後

治療前と治療後
症例8年齢/47歳女性
期間/3年1か月
主訴/歯が出ていて口が閉じれない
診断/骨格性Ⅱ級上下顎前突
装置/メタルブラケット
抜歯部位/上下顎両側第一小臼歯、上下顎両側第三大臼歯
治療費/96万円
副作用とリスク/ 矯正力がかかることによる歯の痛みや違和感、矯正装置の刺激による口内炎が生じることがあります。歯根吸収や歯肉退縮、ブラックトライアングル、口腔内の清掃不良による歯肉炎・歯周病、むし歯が生じる可能性がありました。
※こちらは治療例です。治療結果には個人差があります。

治療前

治療中

治療後

治療前と治療後
症例9年齢/22歳女性
期間/3年11か月
主訴/前歯の歯並び、口元が出ているのが気になる
診断/骨格性Ⅲ級上下顎前突
装置/セラミックブラケット
抜歯部位/上下顎両側第一小臼歯
治療費/110万円
備考/ヘッドギア併用
副作用とリスク/ 矯正力がかかることによる歯の痛みや違和感、矯正装置の刺激による口内炎が生じることがあります。歯根吸収や歯肉退縮、ブラックトライアングル、口腔内の清掃不良による歯肉炎・歯周病、むし歯が生じる可能性がありました。
※こちらは治療例です。治療結果には個人差があります。

治療前

治療中

治療後

治療前と治療後
症例10年齢/26歳女性
期間/2年6か月
主訴/口が閉じにくい、前歯のガタガタ、かみ合わせを治してほしい
診断/骨格性Ⅱ級上下顎前突
装置/セラミックブラケット
抜歯部位/上下顎両側第一小臼歯
治療費/93万円
副作用とリスク/ 矯正力がかかることによる歯の痛みや違和感、矯正装置の刺激による口内炎が生じることがあります。歯根吸収や歯肉退縮、ブラックトライアングル、口腔内の清掃不良による歯肉炎・歯周病、むし歯が生じる可能性がありました。
※こちらは治療例です。治療結果には個人差があります。

治療前

治療中

治療後

治療前と治療後
症例11年齢/29歳女性
期間/3年4か月
主訴/前歯が出ているのを治してほしい
診断/骨格性Ⅱ級上下顎前突
装置/カスタムメイド型舌側矯正装置
抜歯部位/上下顎両側第一小臼歯、上顎左側第三大臼歯
治療費/153万円
副作用とリスク/ 矯正力がかかることによる歯の痛みや違和感、矯正装置の刺激による口内炎が生じることがあります。歯根吸収や歯肉退縮、ブラックトライアングル、口腔内の清掃不良による歯肉炎・歯周病、むし歯が生じる可能性がありました。
※こちらは治療例です。治療結果には個人差があります。

治療前

治療中

治療後

治療前と治療後





