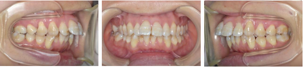
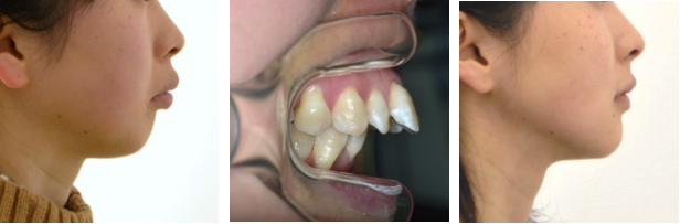
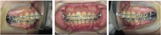
症例1年齢/16歳女性
期間/2年8か月
主訴/出っ歯・口元が出ているのが気になる
診断/骨格性Ⅱ級上顎前突
装置/セラミックブラケット
抜歯部位/上下顎両側第一小臼歯、上顎両側第三大臼歯
治療費/103万円
副作用とリスク/ 矯正力がかかることによる歯の痛みや違和感、矯正装置の刺激による口内炎が生じることがあります。歯根吸収や歯肉退縮、ブラックトライアングル、口腔内の清掃不良による歯肉炎・歯周病、むし歯が生じる可能性がありました。
※こちらは治療例です。治療結果には個人差があります。

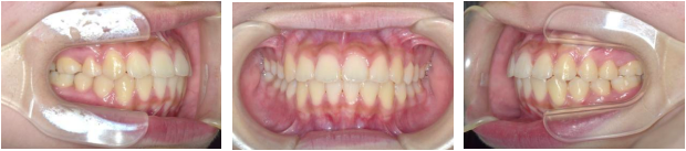
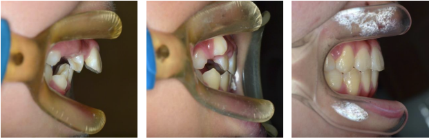
治療前

治療中

治療後

治療前と治療後
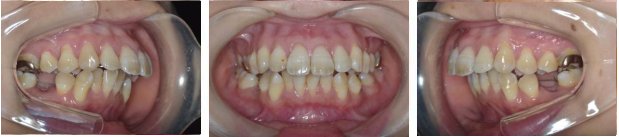
症例2年齢/29歳女性
期間/3年1か月
主訴/出っ歯を治したい
診断/骨格性Ⅱ級上顎前突、叢生
装置/カスタムメイド型舌側矯正装置
抜歯部位/上顎両側第一小臼歯、下顎両側第二小臼歯
治療費/151万円
副作用とリスク/矯正力がかかることによる歯の痛みや違和感、矯正装置の刺激による口内炎が生じることがあります。歯根吸収や歯肉退縮、ブラックトライアングル、口腔内の清掃不良による歯肉炎・歯周病、むし歯が生じる可能性がありました。
※こちらは治療例です。治療結果には個人差があります。

治療前

治療中

治療後

治療前と治療後

治療前と治療後
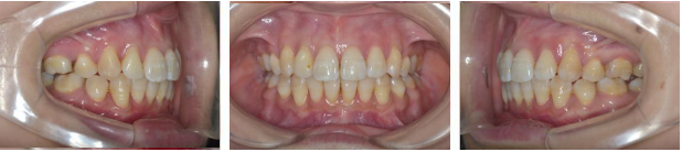
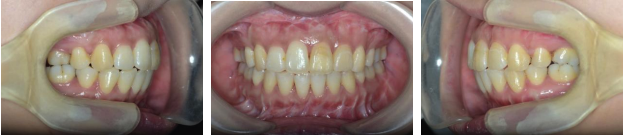
症例3年齢/18歳女性
期間/3年1か月
主訴/出っ歯と人に言われる、口が閉じにくいのが気になる
診断/骨格性Ⅱ級上顎前突
装置/セラミックブラケット
抜歯部位/上下顎両側第一小臼歯
治療費/107万円
副作用とリスク/ 矯正力がかかることによる歯の痛みや違和感、矯正装置の刺激による口内炎が生じることがあります。歯根吸収や歯肉退縮、ブラックトライアングル、口腔内の清掃不良による歯肉炎・歯周病、むし歯が生じる可能性がありました。
※こちらは治療例です。治療結果には個人差があります。

治療前

治療中

治療後

治療前と治療後

治療前と治療後
症例4年齢/28歳女性
期間/3年6か月
主訴/前歯が出ている、口が閉じにくい
診断/下顎骨後退の骨格性Ⅱ級上顎前突、叢生
装置/セラミックブラケット
抜歯部位/上下顎両側第一小臼歯
治療費/顎変形症による保険治療
備考/外科的矯正治療(上下顎2Jaw+オトガイ形成術)
副作用とリスク/矯正力がかかることによる歯の痛みや違和感、矯正装置の刺激による口内炎が生じることがあります。歯根吸収や歯肉退縮、ブラックトライアングル、口腔内の清掃不良による歯肉炎・歯周病、むし歯が生じる可能性がありました。
※こちらは治療例です。治療結果には個人差があります。

治療前

治療中

治療後

治療前と治療後
症例5年齢/22歳女性
期間/2年10か月
主訴/歯が出ていて口が閉じにくく、口呼吸になる
診断/骨格性Ⅱ級上顎前突
装置/セラミックブラケット
抜歯部位/上下顎両側第一小臼歯
治療費/105万円
備考/ヘッドギア併用
副作用とリスク/ 矯正力がかかることによる歯の痛みや違和感、矯正装置の刺激による口内炎が生じることがあります。歯根吸収や歯肉退縮、ブラックトライアングル、口腔内の清掃不良による歯肉炎・歯周病、むし歯が生じる可能性がありました。
※こちらは治療例です。治療結果には個人差があります。

治療前

治療中

治療後

治療前と治療後

治療前と治療後
症例6年齢/17歳女性
期間/2年2か月
主訴/前歯が出ている、前歯で噛めない
診断/骨格性Ⅱ級上顎前突
装置/セルフライゲーションセラミックブラケット
抜歯部位/上下顎両側第一小臼歯
治療費/101万円
副作用とリスク/ 矯正力がかかることによる歯の痛みや違和感、矯正装置の刺激による口内炎が生じることがあります。歯根吸収や歯肉退縮、ブラックトライアングル、口腔内の清掃不良による歯肉炎・歯周病、むし歯が生じる可能性がありました。
※こちらは治療例です。治療結果には個人差があります。

治療前

治療中

治療後

治療前と治療後

治療前と治療後
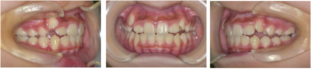
症例7年齢/8歳男子
期間/2年6か月
主訴/出っ歯ですきっ歯なのが気になる
診断/骨格性Ⅱ級上顎前突
装置/歯列矯正用咬合誘導装置(T4K→i-2)
治療費/44万円
備考/第Ⅰ期治療
副作用とリスク/ 矯正力がかかることによる歯の痛みや違和感、矯正装置の刺激による口内炎が生じることがあります。口腔内の清掃不良による歯肉炎が生じる可能性がありました。
※こちらは治療例です。治療結果には個人差があります。

治療前

治療中

治療後

治療前と治療後

治療前と治療後
症例8年齢/9歳女子
期間/2年1か月
主訴/前歯が出ていて口が閉じない
診断/骨格性Ⅱ級上顎前突
装置/メタルブラケット、歯列矯正用咬合誘導装置(T4K)
治療費/95万円
備考/第Ⅰ期治療後(1年2か月)後、交換・成長の観察を行い、第Ⅱ期治療
副作用とリスク/ 矯正力がかかることによる歯の痛みや違和感、矯正装置の刺激による口内炎が生じることがあります。歯根吸収や歯肉退縮、ブラックトライアングル、口腔内の清掃不良による歯肉炎・歯周病、むし歯が生じる可能性がありました。
※こちらは治療例です。治療結果には個人差があります。

治療前

Ⅰ期治療後

治療中

Ⅱ期治療後

治療前と治療後

治療前と治療後
症例9年齢/9歳女子
期間/1年2か月→1年7か月
主訴/前歯が出ている、歯が大きいのが気になる
診断/骨格性Ⅱ級上顎前突
装置/ハイプルヘッドギア トランスパラタルアーチ メタルブラケット
治療費/92万円
備考/第Ⅰ期治療(1年2か月)後、交換・成長の観察を行い、第Ⅱ期治療
副作用とリスク/ 矯正力がかかることによる歯の痛みや違和感、矯正装置の刺激による口内炎が生じることがありますブラックトライアングル、口腔内の清掃不良による歯肉炎、むし歯が生じる可能性がありました。
※こちらは治療例です。治療結果には個人差があります。

治療前

Ⅰ期治療後

治療中

Ⅱ期治療後

治療前と治療後

治療前と治療後
症例10年齢/9歳女子
期間/1年2か月
主訴/口が閉じれない・出っ歯が気になる
診断/骨格性Ⅱ級上顎前突
装置/歯列矯正用咬合誘導装置(T4K)
治療費/42万円
備考/第Ⅰ期治療
副作用とリスク/矯正力がかかることによる歯の痛みや違和感、矯正装置の刺激による口内炎が生じることがあります。口腔内の清掃不良による歯肉炎が生じる可能性がありました。
※こちらは治療例です。治療結果には個人差があります。

治療前

治療中

治療後

治療前と治療後
症例11年齢/12歳女性
期間/2年11か月
主訴/出っ歯、歯並びが気になる
診断/骨格性Ⅱ級上顎前突
装置/メタルブラケット
抜歯部位/上下顎両側第一小臼歯
治療費/96万円
備考/ヘッドギア併用
副作用とリスク/ 矯正力がかかることによる歯の痛みや違和感、矯正装置の刺激による口内炎が生じることがあります。歯根吸収や歯肉退縮、ブラックトライアングル、口腔内の清掃不良による歯肉炎・歯周病、むし歯が生じる可能性がありました。
※こちらは治療例です。治療結果には個人差があります。

治療前

治療中

治療後

治療前と治療後
症例12年齢/14歳女性
期間/3年1か月
主訴/口元・前歯が出ているのが気になる
診断/骨格性Ⅱ級上顎前突
装置/メタルブラケット
抜歯部位/上顎両側第二小臼歯、下顎両側第一小臼歯
治療費/97万円
副作用とリスク/矯正力がかかることによる歯の痛みや違和感、矯正装置の刺激による口内炎が生じることがあります。歯根吸収や歯肉退縮、ブラックトライアングル、口腔内の清掃不良による歯肉炎・歯周病、むし歯が生じる可能性がありました。
※こちらは治療例です。治療結果には個人差があります。

治療前

治療中

治療後

治療前と治療後
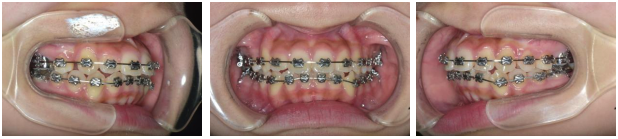
症例13年齢/20歳男性
期間/1年5か月
主訴/上の歯が出ているのが気になる
診断/骨格性Ⅱ級上顎前突
装置/メタルブラケット
抜歯部位/上顎両側第一小臼歯
治療費/87万円
副作用とリスク/ 矯正力がかかることによる歯の痛みや違和感、矯正装置の刺激による口内炎が生じることがあります。歯根吸収や歯肉退縮、ブラックトライアングル、口腔内の清掃不良による歯肉炎・歯周病、むし歯が生じる可能性がありました。
※こちらは治療例です。治療結果には個人差があります。

治療前

治療中

治療後

治療前と治療後

治療前と治療後
症例14年齢/11歳男性
期間/2年3か月
主訴/前歯が出ていて口が閉じにくい
診断/骨格性Ⅱ級上顎前突
装置/歯列矯正用咬合誘導装置(T4K)→セラミックブラケット
抜歯部位/上顎両側第一小臼歯
治療費/92万円
備考/第Ⅰ期治療(1年)後、成長の観察を行い、第Ⅱ期治療
副作用とリスク/ 矯正力がかかることによる歯の痛みや違和感、矯正装置の刺激による口内炎が生じることがあります。歯根吸収や歯肉退縮、ブラックトライアングル、口腔内の清掃不良による歯肉炎・歯周病、むし歯が生じる可能性がありました。
※こちらは治療例です。治療結果には個人差があります。

治療前

治療中

治療中

治療後

治療前と治療後

治療前と治療後
症例15年齢/15歳男性
期間/2年7か月
主訴/前歯が出っ歯ですきっ歯なのが気になる
診断/骨格性Ⅱ級上顎前突
装置/メタルブラケット
抜歯部位/上顎両側第一小臼歯、下顎右側第二乳臼歯、下顎左側第二小臼歯
治療費/93万円
備考/下顎右側第二小臼歯先天欠損
副作用とリスク/ 矯正力がかかることによる歯の痛みや違和感、矯正装置の刺激による口内炎が生じることがあります。歯根吸収や歯肉退縮、ブラックトライアングル、口腔内の清掃不良による歯肉炎・歯周病、むし歯が生じる可能性がありました。
※こちらは治療例です。治療結果には個人差があります。

治療前

治療中

治療後

治療前と治療後

治療前と治療後
症例16年齢/21歳女性
期間/1年11か月
主訴/上の前歯が1本ねじれてるのと出てるのが気になる
診断/骨格性Ⅰ級上顎前突
装置/セラミックブラケット
抜歯部位/上顎両側第一小臼歯、下顎右側第二小臼歯、下顎左側第一小臼歯
治療費/100万円
副作用とリスク/ 矯正力がかかることによる歯の痛みや違和感、矯正装置の刺激による口内炎が生じることがあります。歯根吸収や歯肉退縮、ブラックトライアングル、口腔内の清掃不良による歯肉炎・歯周病、むし歯が生じる可能性がありました。
※こちらは治療例です。治療結果には個人差があります。

治療前

治療中

治療後

治療前と治療後

治療前と治療後
症例17年齢/21歳女性
期間/2年7か月
主訴/前歯が1本出てる、口が閉じにくいのが気になる
診断/骨格性Ⅱ級上顎前突
装置/セラミックブラケット
抜歯部位/上顎両側第一小臼歯、下顎右側第二小臼歯・左側第一小臼歯、下顎両側第三大臼歯抜歯
治療費/103万円
副作用とリスク/ 矯正力がかかることによる歯の痛みや違和感、矯正装置の刺激による口内炎が生じることがあります。歯根吸収や歯肉退縮、ブラックトライアングル、口腔内の清掃不良による歯肉炎・歯周病、むし歯が生じる可能性がありました。
※こちらは治療例です。治療結果には個人差があります。

治療前

治療中

治療後

治療前と治療後

治療前と治療後





